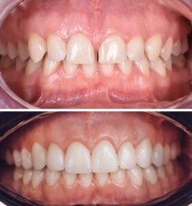
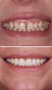
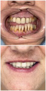
W naumo.dental oferujemy kompleksowe leczenie stomatologiczne wykonywane z wykorzystaniem mikroskopu, zapewniające najwyższy standard precyzji i skuteczności. W naszym gabinecie, znajdującym się w sercu Warszawy (Al. Jana Pawła II, Muranów) realizowane są zabiegi z zakresu chirurgii stomatologicznej (implanty zębowe) oraz szczękowo-twarzowej, przeprowadzane przez lekarza specjalistę. Każdy pacjent traktowany jest indywidualnie i prowadzony przez lekarza na wszystkich etapach leczenia, w oparciu o szczegółowo opracowany, spersonalizowany plan leczenia oraz przejrzysty kosztorys.
Dokładam wszelkich starań, aby pacjenci czuli się w tym miejscu komfortowo i byli objęci troskliwą opieką – od pierwszej konsultacji i omówienia planu leczenia, aż po wizyty kontrolne po jego zakończeniu.
To miejsce stworzone z pasji, zaangażowania w pracę z pacjentami oraz potrzeby oferowania leczenia opartego na najaktualniejszej wiedzy medycznej i najwyższych standardach jakości.























Konsultacja informacyjna z planem leczenia/specjalistyczna: 250 zł
Pakiet higienizacji
(scaling, piaskowanie, polerowanie, fluoryzacja): 380 zł
Lakowanie: 100 zł
Wypełnienie w zębie po leczeniu próchnicy: 380-400 zł
Odbudowa całej korony zęba: 450-500 zł
Leczenie kanałowe zęba 1- kanałowego (siekacze, kły, dolne przedtrzonowce): 800 zł
Leczenie kanałowe zęba 2-kanałowego (górne przedtrzonowce): 1000 zł
Leczenie kanałowe zęba 3,4- kanałowego (trzonowce): 1500 zł
Powtórne leczenie kanałowe: +150-200 zł w zależności od stopnia trudności usunięcia starego materiału z kanału
Wkład korzeniowy: 600 zł
Korona pełnoceramiczna (cyrkonowa): 2800 zł
Most protetyczny: koszt korony protetycznej x ilość zębów w moście
Licówka pełnoceramiczna (E-max, cyrkonowa): 2800 zł
Korona pełnoceramiczna na implancie: 3800 zł
Proteza szkieletowa: 3800 zł
Proteza całkowita akrylowa: 3000 zł
Naprawa protezy: wyceniane indywidualnie przez technika
(zabiegi chirurgiczne wykonywane przez lekarza specjalistę chirurgii szczękowo-twarzowej)
Usunięcie zęba jednokorzeniowego: od 300 zł
Usunięcie zęba wielokorzeniowego: 300-500 zł
Usunięcie 8 wyrżniętej: 600-800 zł
Chirurgiczne usunięcie zęba 8 zatrzymanego: 800-1200 zł
Usunięcie torbieli zębopochodnej: od 1200 zł
Podniesienie dna zatoki szczękowej: 1500-2000 zł
(zabiegi chirurgiczne wykonywane przez lekarza specjalistę chirurgii szczękowo-twarzowej)
Implant zębowy: 3800 zł
All-on-4: od 24 tys. (wycena indywidualna)
Szyna relaksacyjna na noc: 1000 zł
Botoks żwaczy: 1000 zł